What is the most likely diagnosis?
- 58 year-old with axillary adenopathy

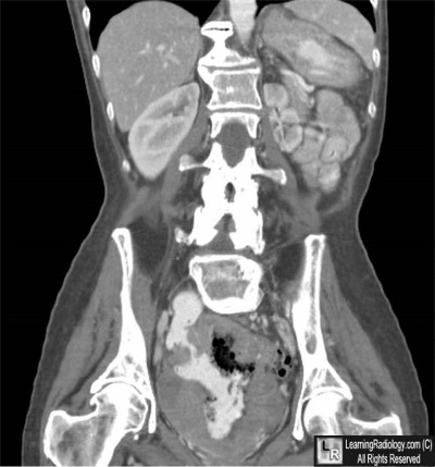
Coronal Reconstruction of CT of Abdomen and Pelvis
- Degenerative Disk Disease
- Cirrhosis
- Sickle Cell Disease
- Uterine Fibroids
- Small Bowel Lymphoma
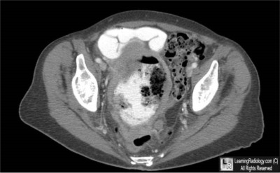
Additional Images-Axial CT Scan of Abdomen and Pelvis

Additional Images

Axial CT Scan of Abdomen and Pelvis

Answer:
5. Small Bowel Lymphoma
More (Click Discussion Tab)
Small Bowel Lymphoma
General Considerations
- Small bowel is second most frequent site of GI tract involvement by lymphoma.
- Ileum is most common site of occurrence
- Ileum has most lymphoid tissue
- Duodenum is least frequent
- Most cases of small bowel lymphoma are due to non-Hodgkin’s lymphoma
- Mesenteric involvement by lymphoma may occur by
- Direct extension from bowel
- Indirectly by displacement due to mass effect